the Gallery

All work showcased below are real cases completed by Dr. Feliciano

A challenging case of space management

Pt states that he’s been worried about the gap in the middle teeth and missing teeth on the left side of his smile.

In this particular case, the pt did not want to opt into implants, the challenge was on. Pt was also concerned about the gum overgrowth between the two front teeth. During the prep appointment, we actually did a mild gingivectomy to remove some of the bulk to get a better result between the teeth and close the gap more accurately.

Crowns on #7 and #9 were replaced. A longer bridge was placed on the left side. to replace two missing teeth.

After the treatment was done, pt was happy with the results and looks forward to his beautiful smile everyday.

Close-up of damaged and decayed upper front teeth with visible cracks, discoloration, and decay.
Close-up of a smiling person's mouth showing teeth with decay and discoloration.
Close-up of upper front teeth restored with ceramic crowns and composite fillings.
Close-up of upper front teeth restored with ceramic crowns and composite fillings.
Close-up of upper front teeth restored with ceramic crowns and composite fillings.

Esthetic case - managing recurrent decay and sensitive teeth

Pt states that he has sensitivity in his front teeth. Pt also states that he doesn’t like the dark spots when smiling!

The middle front teeth not only had decay on the front portion, but also had decay behind as well. Because of the circumferential bacterial infection on the tooth, crowns were recommended. The adjacent teeth had smaller cavities and were managed with composite restorations. After the decay was removed and teeth restored, the patient had no more pain on cold and was much more confident with his smile!

Pt had been missing her lower right first molar for a while, she wanted to be able to chew on both sides again!

implant on lower right molar

After taking an in-house CT scan, Dr. Feliciano saw that she had ample bone to house an implant! The patient had been missing the tooth for years, but this time she was ready to make a change. The patient was prepped for surgery and the implant was placed in about 30 minutes! Not all cases go this smooth, but luckily for us, she was in and out in no time.

The second photo is a one week post op. We can appreciate the gums bounding back after the procedure.

Close-up of a person's upper teeth with a dead and necrotic tooth needing restoration.
Dental X-ray showing root canal treatment.
X-ray image of two front teeth with a root canal treatment in the tooth in the middle.
Close-up of a smiling person with dark skin, showing their teeth and a full mustache and beard.

trauma case - restored with root canal treatment, a crown, and composites

Pt states he was in a vehicular accident, suffered blunt force trauma to his front teeth.

Dr. Feliciano started off the case with a flexible splint to stabilize the traumatized front tooth. After a month of stabilization, Doc removed the wire, re-evaluated the mobility of the tooth and decided it was possible to save it. Unfortunately, the tooth went necrotic, resulting in a dead tooth and a very obvious discoloration. The root canal treatment was completed to minimize any apical abscess and to remove the dead pulp of the tooth. A composite veneer was placed on the adjacent tooth and a crown placed on the necrotic tooth to restore a beautiful smile!

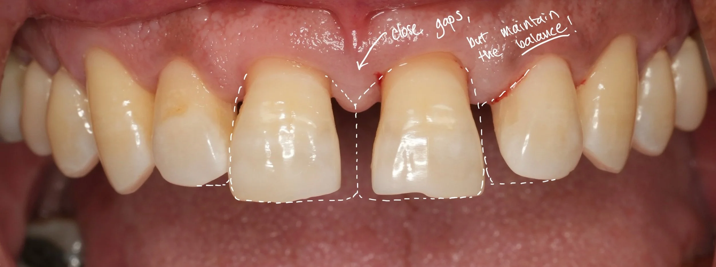
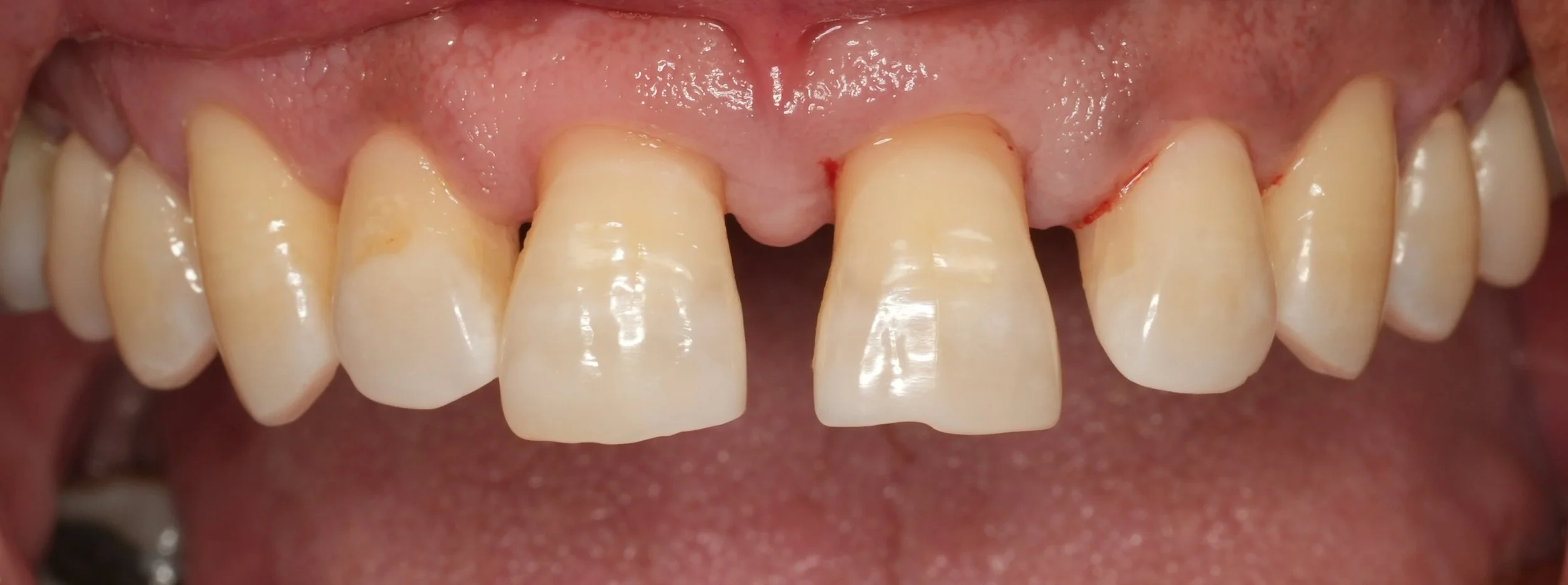
Close-up of a person's upper front teeth with visible gaps, plaque buildup, and some gum inflammation.
Close-up of a person's front teeth with notes saying 'close gaps', 'keep proper maintenance', and dotted lines indicating the gaps between teeth.
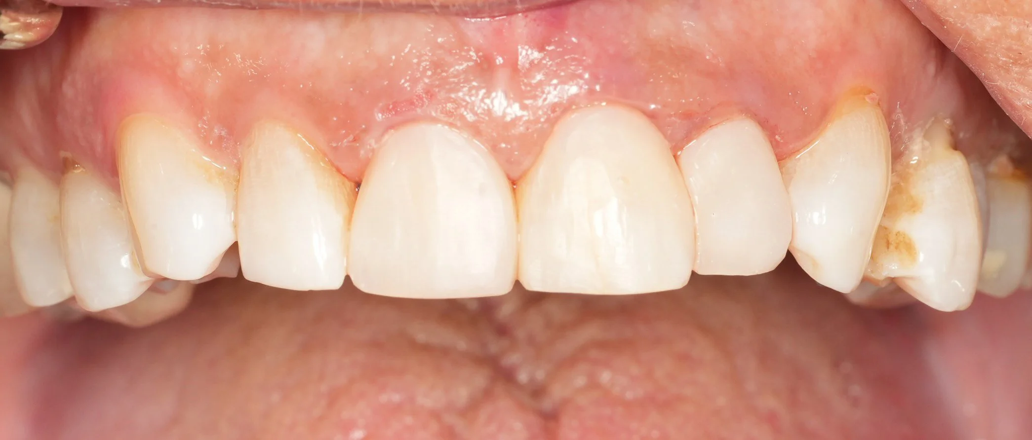
Close-up photo of a person's upper front teeth showing closed gaps with veneers.

Veneers 7-10

Patient’s chief complaint was the wide spacing and inability to properly chew food.

Dr. Feliciano’s goal was to be minimally invasive and save as much tooth structure as possible. though crowns on the anterior 4 could have also fixed the issue Doc preserved the back sides of the teeth and essentially placed “masks” on these teeth. Overall, pt was extremely happy with results.

Close-up of discolored, stained, and misaligned teeth with plaque buildup and gum inflammation.
Close-up of human teeth with annotations indicating recurrent decay, restore fracture, and areas to restore, with visible dental plaque and decay on several teeth.
Close-up of teeth restored with composite restorations.

composite fillings #8-10

Patient chief complaint was the the cracked teeth look right in themiddle of her smile.

For this case, it was a combination of cavities and cracks that Doc had to address. Ultimately the patient and doctor agreed on continuing with composite restorations to achieve the pt’s goals. This treatment was done on the same visit.

Close-up of teeth and gums with visible plaque buildup, inflammation and decay.
Close-up of a tooth with annotations showing a primary decay, a broken bond to the healthy structure, and a fracture to be restored.
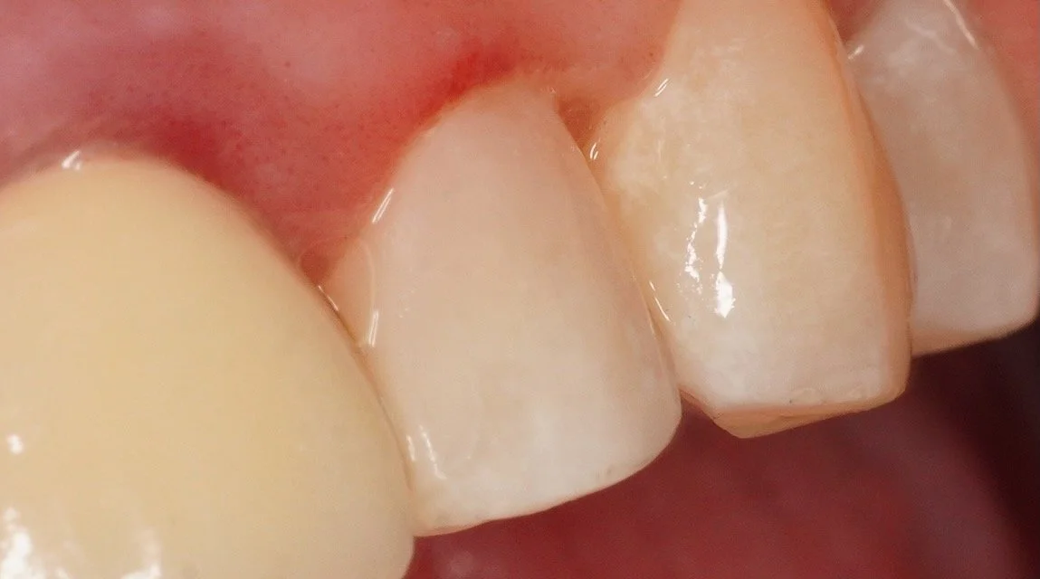
Close-up of four upper front teeth with visible enamel and gums. Decay is restored.

#10 composite restoration

Patient’s chief complaint was the dark yellow spot her fron tooth.

In this case, Doc focused soley on just the affected area and focused the most on blending in polishing to achieve a smooth transition, and almost seamless restoration. The patient was very happy with the results.

Close-up of a person's mouth showing teeth, lips, and surrounding skin.
Close-up of a person's mouth showing teeth with a dental restoration, marked with a handwritten note and dotted lines indicating the area of the restoration.
Close-up of a person smiling showing their teeth, including top and bottom front teeth and surrounding lips and skin.

composite restoration on #8 and 9

Patient’s chief complait was the small cracks right in the middle of her smile.

Pt was unsure of how she wanted to tackle the situation. After conversing with the patient and assessing the pros and cons, Doc and the patient agreed on composite restorations to achieve a more balanced look. This way, we could be conservative and cut as little of the tooth as possible while restoring the patients confidence in her smile.